L’hypophyse est un petit organe vital situé à la base du cerveau. De la taille d’un petit pois, elle est responsable de la production et de la régulation de nombreuses hormones dans le corps, ce qui en fait le centre du système endocrinien. Les tumeurs de l’hypophyse sont des excroissances généralement bénignes qui se développent dans cette région.
Cependant, leur taille ou les hormones qu’elles sécrètent entraînent de graves symptômes. En effet, elles se manifestent par des maux de tête, des troubles de la vision, des irrégularités menstruelles ou des déséquilibres hormonaux. C’est pour cette raison qu’un diagnostic est souvent tardif, car les tumeurs ne sont pas détectées à un stade précoce. Par conséquent, il est important de connaître les tumeurs de l’hypophyse, leurs symptômes, et de consulter un professionnel de la santé si nécessaire.
Une bonne compréhension de cette glande et des troubles qui l’affectent vous permettra donc d’obtenir un traitement rapide et de maintenir votre bien-être.
Tumeur de l’hypophyse : qu’est-ce que c’est et comment affecte-t-elle votre santé ?
Une tumeur de l’hypophyse est une excroissance causée par la prolifération anormale de cellules dans l’hypophyse, une glande située à la base du cerveau. Ces tumeurs sont généralement bénignes et se développent lentement. Cependant, elles causent de graves problèmes de santé en raison des hormones qu’elles sécrètent ou de la pression qu’elles exercent sur les tissus environnants.
L’hypophyse se divise en deux parties principales, l’antéhypophyse et la posthypophyse. Elle sécrète de nombreuses hormones essentielles, telles que l’hormone de croissance, l’hormone de stimulation de la thyroïde, l’hormone adrénocorticotrope, la prolactine et l’hormone lutéinisante. Par conséquent, les tumeurs qui s’y développent influencent directement l’équilibre hormonal. Le type, la taille et la capacité à produire des hormones déterminent les symptômes et le traitement.
🔵 À LIRE AUSSI >> Calculs biliaires : la douleur, les facteurs de risque et les solutions
On classe les tumeurs de l’hypophyse en deux groupes principaux. D’abord, les tumeurs fonctionnelles (productrices d’hormones). Ces tumeurs sécrètent un excès d’hormones. Une surproduction qui provoque divers déséquilibres dans le corps. Ensuite, les tumeurs non fonctionnelles (non productrices d’hormones). Ces tumeurs ne sécrètent pas d’hormones, mais elles grandissent et exercent une pression sur les structures avoisinantes.
On les classe aussi en fonction de leur taille. Une tumeur de moins de 1 cm est un microadénome, tandis qu’une tumeur de plus de 1 cm est un macroadénome.
Fatigue, troubles de la vision : les symptômes d’un adénome hypophysaire
Une tumeur de l’hypophyse se manifeste par deux mécanismes. Soit elle produit un excès d’hormones, soit elle exerce une pression sur les tissus environnants. Les symptômes se développent lentement et sont difficiles à détecter au début. Cependant, ils s’aggravent avec le temps et affectent sérieusement la qualité de vie.

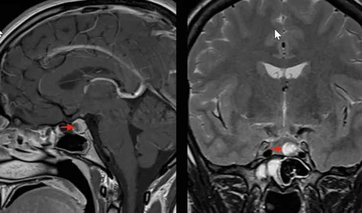
Imagerie d’un adénome hypophysaire
Soyez donc attentif aux signaux que votre corps vous envoie. Voici les symptômes courants d’une tumeur de l’hypophyse :
- Troubles de la vision : la tumeur comprime le nerf optique, ce qui entraîne une vision double ou trouble et une perte de la vision périphérique.
- Maux de tête : une pression accrue dans la région de l’hypophyse provoque des maux de tête persistants ou pulsatiles, souvent ressentis au niveau du front et des tempes.
- Irrégularités menstruelles : les déséquilibres hormonaux chez les femmes entraînent l’aménorrhée ou des cycles menstruels irréguliers.
- Baisse de la libido : la baisse du désir sexuel et les problèmes d’érection touchent les hommes et les femmes.
- Écoulement de lait des seins : la galactorrhée est un symptôme d’un excès de prolactine chez les femmes et, rarement, chez les hommes.
- Variations de poids : les changements des taux de cortisol ou d’hormones thyroïdiennes entraînent un gain ou une perte de poids.
- Croissance des mains, des pieds et du visage : l’excès d’hormone de croissance provoque un élargissement des os des mains, des pieds et de la mâchoire.
- Fatigue et faiblesse : un déséquilibre hormonal provoque une sensation de fatigue constante.
- Sueurs et bouffées de chaleur : ces symptômes sont fréquents en cas de troubles hormonaux.
- Changements d’humeur : la dépression, l’irritabilité ou les sautes d’humeur.
Les causes et les facteurs de risque
La cause exacte des tumeurs de l’hypophyse demeure inconnue. Néanmoins, les oncologues estiment que des facteurs génétiques, hormonaux et environnementaux jouent un rôle dans leur développement. Des changements dans les gènes qui contrôlent la division cellulaire entraînent une prolifération incontrôlée des cellules de l’hypophyse.
Certains syndromes héréditaires et une prédisposition familiale augmentent également le risque. Cependant, la plupart des tumeurs de l’hypophyse se développent par hasard et ne sont pas liées à un facteur externe. La prédisposition génétique, l’équilibre hormonal, l’état du système immunitaire et les changements dans la structure du cerveau affectent donc le développement de la tumeur.
🔵 À LIRE AUSSI >> Sensation d’oreille bouchée : causes fréquentes et traitements efficaces
Plusieurs facteurs contribuent à la formation de ces tumeurs. Les voici :
- Mutations génétiques : des troubles des gènes qui contrôlent la croissance et la division des cellules entraînent une prolifération incontrôlée des cellules de l’hypophyse.
- Prédisposition familiale : les antécédents familiaux de tumeurs de l’hypophyse sont un facteur de risque, surtout chez les jeunes.
- Maladies héréditaires : les patients atteints de syndromes génétiques comme la « néoplasie endocrinienne multiple de type 1 (NEM 1) » ont plus de chances de développer une tumeur de l’hypophyse.
- Déséquilibres hormonaux : des déséquilibres hormonaux de longue durée provoquent une stimulation anormale de l’hypophyse.
- Troubles du système immunitaire : les maladies auto-immunes ou l’affaiblissement du système immunitaire entraînent des changements structurels dans l’hypophyse.
- Facteurs environnementaux : l’exposition aux ondes électromagnétiques, à certains produits chimiques ou aux traumatismes crâniens est théoriquement un risque. Toutefois, ces facteurs ne sont pas scientifiquement prouvés.
- Dysfonctionnement de l’interaction avec l’hypothalamus : l’interaction entre l’hypothalamus et l’hypophyse est essentielle. Un dysfonctionnement entre ces deux organes entraîne une perte de contrôle des cellules.
Les options de traitement
Le traitement des tumeurs de l’hypophyse dépend de la taille de la tumeur, de sa production ou non d’hormones, de la pression qu’elle exerce sur les tissus environnants et de l’état de santé général du patient. Des endocrinologues, des neurochirurgiens, des ophtalmologues et des radiologues travaillent ensemble pour déterminer le traitement.
Si la tumeur ne produit pas d’hormones et qu’elle est petite, une surveillance régulière est souvent suffisante. Les professionnels de la santé vérifient si la tumeur grandit à l’aide de tests hormonaux et d’examens d’imagerie cérébrale. En l’absence de progression, le patient n’aura pas besoin d’un traitement actif.

Salle de chirurgie oncologique ultramoderne (Centre Médical Anadolu).
En revanche, si la tumeur produit des hormones et qu’elle perturbe l’équilibre du corps, elle exige un traitement. Dans certains cas, les médicaments contrôlent la production d’hormones ou réduisent la taille de la tumeur. Cette approche soulage les symptômes et évite la chirurgie.
Si la tumeur est volumineuse, qu’elle exerce une pression sur les structures avoisinantes ou qu’elle affecte des fonctions vitales comme la vision, la chirurgie devient la première option. Si la chirurgie n’est pas possible ou si la tumeur récidive, on a recours à la radiothérapie.
Cette méthode empêche la croissance des cellules tumorales à l’aide de radiations contrôlées. Le traitement vise à maîtriser la tumeur tout en préservant la capacité de l’hypophyse à produire des hormones. C’est pourquoi certains patients ont besoin d’un soutien hormonal après le traitement. Un suivi et un support à vie sont des aspects importants du traitement.
Comment se déroule l’opération d’une tumeur de l’hypophyse ?
La chirurgie pour une tumeur de l’hypophyse est l’option de choix si la tumeur est volumineuse, si elle exerce une pression sur les tissus environnants, si elle affecte les nerfs optiques ou si elle ne répond pas aux médicaments. Cette opération exige une expertise en neurochirurgie et une planification minutieuse.
L’approche la plus courante est la chirurgie transnasale transphénoïdale. Cette technique permet d’accéder à l’hypophyse par la cavité nasale plutôt que par une ouverture dans le crâne. Le patient est sous anesthésie générale. D’abord, le chirurgien insère un endoscope dans une narine. Il utilise une caméra et des instruments de chirurgie pour atteindre l’hypophyse en passant par le sinus sphénoïdal. Cette approche permet de retirer la tumeur sans ouvrir le crâne ou endommager le tissu cérébral. Elle réduit aussi le temps de récupération et le risque d’infection.
🔵 À LIRE AUSSI >> Appendicite aiguë : Apprenez à reconnaître les signes pour éviter la rupture
Après l’opération, le patient est gardé sous observation à l’hôpital pendant quelques jours. Son champ visuel, ses taux d’hormones et la pression intracrânienne sont surveillés. L’opération de l’hypophyse entraîne des déséquilibres hormonaux temporaires ou permanents. C’est pourquoi certains patients doivent prendre des suppléments hormonaux. Un traitement de radiothérapie ou de médicaments est parfois nécessaire après l’opération.